Autopsias de pacientes con Coronavirus revelaron nuevos e importantes hallazgos sobre la enfermedad

hace 5 años - CORONAVIRUS

Tiempo de lectura: 1 minuto, 41 segundos

Fueron realizadas a pacientes afroamericanos fallecidos en New Orleans. Los detalles.


29/05/2020 - 09:08 Mundo

Mientras la pandemia de Coronavirus avanza en todo el mundo, patólogos del Centro de Ciencias de la Salud de la Universidad Estatal de Louisiana, revelaron detalles de sus nuevos hallazgos al concluir la primera serie de autopsias a personas afroamericanas que fallecieron por Covid-19 en Nueva Orleans.

Según revelaron, "pequeños vasos y capilares en los pulmones estaban obstruidos por coágulos sanguíneos y hemorragias asociadas que contribuyeron significativamente a la descompensación y la muerte en estos pacientes".

También encontramos niveles elevados de dímeros D, fragmentos de proteínas involucradas en la descomposición de los coágulos sanguíneos. Lo que no vimos fue miocarditis o inflamación del músculo cardíaco, que los informes preliminares sugieren que contribuyen significativamente a la muerte por covid-19", explicó el autor Richard Vander Heide, profesor y director de Investigación de Patología de la Escuela de Medicina de la Universidad Health de New Orleans.


Te recomendamos: Es falso que un médico argentino descubrió y está aplicando una vacuna contra el Coronavirus en España

Los pacientes fallecidos eran hombres y mujeres de entre 40 y 70 años, muchos de los cuales tenían antecedentes de hipertensión, obesidad, diabetes tipo II, insulinodependientes y enfermedades renales crónicas. Todos habían concurrido al hospital entre el día tres y siete de experimentar los síntomas de tos leve y fiebre de 38 o 39 grados, descompensándose en el hogar.

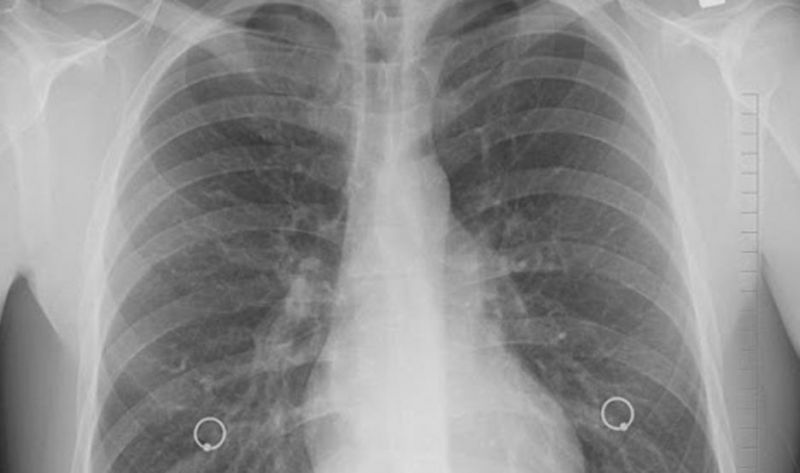
Además, las radiografías de tórax revelaron "opacidades bilaterales de vidrio esmerilado", hallazgos consistentes con el síndrome de dificultad respiratoria aguda (SDRA).

Mientras que los patólogos de LSU Health New Orleans también encontraron el mismo daño generalizado en las estructuras pulmonares involucradas en el intercambio de gases visto en la primera epidemia de SARS, la coagulación de vasos pequeños es un nuevo hallazgo que parece ser específico para Covid causado por SARS-CoV-2 .

Las autopsias se realizaron en el Centro Médico de la Universidad de Nueva Orleans, que fue construido después del huracán Katrina. Es uno de los pocos hospitales en Estados Unidos equipado con un conjunto de autopsias que cumple con los estándares de los CDC para realizar con seguridad la autopsia de pacientes con covid-19 positivo.

29-05-2020 Fuente y foto: EL LIBERAL


TAMBIÉN TE PUEDE INTERESAR