EXPERIENCIA DE FE Devota de Mama Antula asegura que la figura de Jesús aparece en una tomografía

hace 9 años - PROVINCIALES

Tiempo de lectura: 2 minutos, 3 segundos

Estela Gramajo sufrió un fuerte golpe en la cabeza y al realizarse el estudio se sorprendió al ver la imagen religiosa.


19/08/2016 -

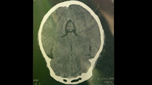
Estela Gramajo no podía creer lo que vio en la tomografía que le hicieron luego de sufrir un fuerte golpe el domingo pasado: la figura de Jesús apareció en la placa.

En medio del dolor y el susto que aún tenía por haberse golpeado con un pesado portón de madera, descubrió que en la placa que le habían realizado estaba la imagen de quien ella cree fervorosamente.

Con los ojos llenos de lágrimas y aún emocionada por lo todo lo que le toca vivir, esta vecina del barrio Ejército Argentino, creyente y fiel de devota de Mama Antula, contó a EL LIBERAL esta experiencia de fe que conmueve a su familia, amigos y vecinos.

"Estaba festejando el cumpleaños de mi hija en una finca del caminito Niño Jesús. Acompañé a un amigo afuera y cuando volví, corrí el portón que tiene como 600 kilos, es de quebracho colorado y hierros, y se me cayó encima. Estuve inconsciente, sentía que no tenía la mitad de la cara. En cuanto me vio mi marido me levantó y me llevó al Hospital Regional. Inmediatamente me atendieron, me hicieron una tomografía. Y los médicos me dijeron que no tenía nada por dentro, solamente tenía hematomas en la cara. Cuando volvimos a casa nos dimos cuenta que en la tomografía estaba la imagen de Jesús", contó Estela.

En su misión de compartir su creencia y llevar el mensaje de Dios, Estela decidió compartir su experiencia de fe. "Es muy emocionante. Soy muy creyente en Jesús. Siempre en mis rezos, todas las noches, le pido que me acompañe siempre y le digo ‘quiero ver algo tuyo’. ¡Qué mas prueba que esto! Es algo que me emociona muchísimo, porque siempre me aboco a mi Dios y mi Jesús y ahora justamente pasando un mal momento con mi padre enfermo, más que nunca rezo, oro y creo que él me ha elegido para que siga teniendo fe y contando a todos, que estamos muy faltados de fe", añadió.

Es por eso que cuenta su historia para que la gente se acerque más a Dios y crea en sus bendiciones. "Creo que es la imagen del Sagrado Corazón de Jesús, de quien somos devotos también", añadió.

También contó que desde hace 35 años su familia es devota de María Antonia de Paz y Figueroa, a quien le están construyendo una gruta en el barrio y le pidieron su ayuda en esos momentos de angustia.

"Cuando veía que le hacían los estudios, después del golpe, le pedí a la Mama Antula que nos ayude a salir bien de esta situación, tal como nos había ayudado antes", cerró José, esposo de Estela. 

Fuente y foto: EL LIBERAL


TAMBIÉN TE PUEDE INTERESAR